Dawson Research Lab

Dawson Lab

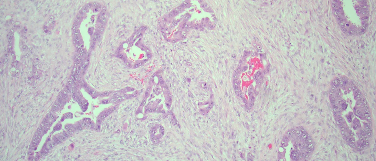
Pancreatic ductal adenocarcinoma

About Our Research

The main research focus of the Dawson Laboratory is pancreatic cancer, an aggressive and highly recalcitrant malignancy. We are seeking to better understand the molecular and cellular basis of pancreatic cancer in order to improve chemoprevention, early detection and therapeutic approaches. We are engaged in both basic and translational research that makes use of cell and animal-based models, as well as patient-derived clinical samples. Our lab is making progress in describing events that contribute to the evolution of pancreatic cancer, identifying biomarkers suitable for clinical decision making, and evaluating novel therapeutic strategies. We are located in the Department of Pathology and Laboratory Medicine in the David Geffen School of Medicine at UCLA.  We are also affiliated with the Jonsson Comprehensive Cancer Center and the UCLA Agi Hirshberg Center for Pancreatic Diseases.

Learn More About Our Research

Meet the PI

David Dawson

David Dawson, MD, PhD
Professor of Pathology
Pathology and Laboratory Medicine